Femeie bătută de concubin, bărbatul i-a dat foc și la haine
Polițiști din cadrul Poliției Municipiului Târgu-Jiu au fost sesizați, vineri, prin apelul 112 de o femeie, de 51 de ani, din comuna Stănești, despre...
Prins cu o alcoolemie de peste 1 la mie
Polițiști din cadrul Poliţiei Orașului Târgu Cărbunești au depistat, azi-noapte, în trafic un localnic, de 33 de ani, în timp ce conducea un autoturism,...
UPDATE: Elevii de Turceni au intrat la ore
Elevii claselor I-IV din Turceni au intrat astăzi la ore. O învățătoare a fost confirmată cu coronavirus, dar au fost luate măsuri de suplinire...
Zeci de cadre didactice de la Novaci și Turceni, în carantină
Circa 30 de cadre didactice de la Liceul Teoretic Novaci au intrat în carantină după ce unul dintre ei a fost confirmat cu coronavirus....
Gorj: Persoană infectată cu COVID-19, reconfirmată pozitiv
Un număr de 364 de persoane au fost retestate şi reconfirmate pozitiv cu COVID-19, a anunţat, duminică, Grupul de Comunicare Strategică (GCS).
Distribuţia pe judeţe...
Telverde pentru copiii și adulții instituționalizați
Autoritatea Națională pentru Drepturile Persoanelor cu Dizabilități, Copii și Adopții (ANDPDCA), Consiliul Tinerilor Instituționalizați (CTI), Centrul de Resurse Juridice (CRJ) și Reprezentanța UNICEF în...
Festivalul „Coborâtul oilor de la munte” se va desfășura online
Primăria şi Consiliul Local Baia de Fier, Căminul Cultural „Ion Niţulescu" Baia de Fier și CJCPCT Gorj organizează on-line cea de-a XXVIII-a ediţie a...
Debut de an școlar în straie noi la mai multe unități de învățământ din...
”Cele mai recente investiții ale noastre le puteți vedea în unitățile de învățământ din Târgu Jiu, odată cu începerea noului an școlar. Clasele Colegiului...
Încă 9 cazuri de COVID-19, în Gorj
În data de 13 septembrie 2020, ora 14.00, situația epidemiologică, la nivelul județului Gorj, se prezintă astfel:
417 persoane în carantină la domiciliu/locația declarată;
...
Calendarul examenului de Bacalaureat, publicat în Monitorul Oficial
Calendarul de desfăşurare a examenului de Bacalaureat 2021 a fost publicat în Monitorul Oficial. În cazul sesiunii iunie - iulie, probele scrise încep pe...
Un milion de lei pentru rețeaua de gaze din Tismana
Veste bună pentru locuitorii din orașul Tismana. Localitatea a primit un milion de lei de la guvern pentru lucrările de introducere a gazelor în...
Guvernul discută luni prelungirea stării de alertă
Guvernul discută luni prelungirea stării de alertă. „Vom prelungi starea de alertă şi discutăm evident nişte măsuri să mai reducem din restricţii. Am să...
Arafat: Va fi o perioadă dificilă
Secretarul de stat în MAI, Raed Arafat, a transmis un mesaj înainte de începerea școlii. Acesta spune că va urma o perioadă dificilă și...
Școlile din județ au primit măști de protecție
În urma verificărilor tuturor unităților școlare înaintea începerii anului școlar 2020-2021, Inspectoratul Școlar Județean Gorj a suplimentat sau, după caz, a asigurat un minim...
O nouă acțiune a salvamontiștilor gorjeni
Acțiune în derulare a salvamontiștilor gorjeni din cadrul Serviciului Public Salvamont al Consiliului Județean Gorj pentru salvarea unei persoane aflata în stare de epuizare...
13 noi cazuri de COVID-19, în Gorj
În data de 12 septembrie 2020, ora 14.00, situația epidemiologică, la nivelul județului Gorj, se prezintă astfel:
398 persoane în carantină la domiciliu/locația declarată;
...
Protest la Târgu Jiu împotriva exploatărilor ilegale de lemne
Duminică, 20 septembrie 2020, la Târgu Jiu, în Piața Prefecturii, între orele 17.00 și 19.00, se va organiza un protest împotriva exploatărilor ilegale de...
Reacția DGASPC Gorj despre angajata a cărei fiică a fost implicată în violențe
"În contextul apariției în rețelele de socializare a unor informații referitoare la incidentul violent în care au fost implicate 4 minore, facem următoarele precizări....
Încă 9 persoane infectate cu COVID-19, în Gorj
În data de 11 septembrie 2020, ora 14.00, situația epidemiologică, la nivelul județului Gorj, se prezintă astfel:
387 persoane în carantină la domiciliu/locația declarată;
...
Scenariul roșu pentru cinci școli din Gorj
Inspectoratul Școlar Județean Gorj a anunțat că în 5 școli din județ cursurile se vor desfășura după scenariul roșu. "În urma propunerilor înaintate de...
Școlile din Turceni, pregătite pentru noul an școlar
"Luăm măsurile necesare pentru a garanta siguranța elevilor noștri în contextul epidemiei de COVID-19! Începutul anului școlar ne va găsi pregătiți, cu instituții școlare...
Calendarul Evaluării Naționale, publicat în Monitorul Oficial
Calendarul de desfăşurare a Evaluării Naţionale pentru absolvenţii clasei a VIII-a în anul şcolar 2020 - 2021 a fost publicat în Monitorul Oficial. Potrivit...
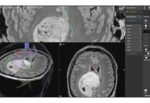
Compartiment de Neurochirurgie la SJU Târgu Jiu
"Înființarea unui compartiment de neurochirurgie are ca scop diagnosticarea și tratarea următoarelor patologii:
- patologia spinală - una dintre cele mai frecvente patologii pentru care...
Studenții își vor putea rezerva online călătoria cu trenul
CFR Călători anunță că studenții își vor putea cumpăra bilete online sau de la automate, pentru reducerea timpului de așteptare la casele de bilete.
CFR...
Bani pentru Gorj
Guvernul României a aprobat, în şedinţa de ieri, 10 septembrie, Hotărârea privind alocarea a 20,93 de milioane de lei din Fondul de intervenţie la...
Se ia apa la Preajba!
APAREGIO GORJ SA anunță întreruperea furnizării apei potabile vineri, 11.09.2020, în intervalul orar 10.30-14.00 în localitatea componentă Preajba din Târgu-Jiu. Întreruperea furnizării apei potabile...
A fost suplimentat numărul de posturi din învățământul preuniversitar
Numărul de posturi necesare pentru desfășurarea în condiții optime a activității în unitățile de învățământ preuniversitar de stat, în anul școlar 2020-2021, a fost...
Primul proiect de oraș pentru Târgu-Jiu, prezentat public de un candidat la primărie!
Luminița Georgeta Popescu, candidat Pro România la Primăria Târgu-Jiu, își prezintă acum, în cadrul unui eveniment public la care participă și europarlamentarul Corina Crețu,...
ADER lansează proiectul ”Din dragoste pentru Brâncuși”
Asociația pentru Democrație, Educație, Respect (ADER) implementează în perioada 15 septembrie – 15 octombrie 2020, proiectul ”Din dragoste pentru Brâncuși”. Proiectul este finanțat prin...
Curțile școlilor din Târgu Jiu, dezinfectate zilnic!
"De luni, în fiecare dimineață, începând cu ora 04:00, vom dezinfecta curțile unităților de învățământ din Târgu Jiu. Vom folosi autoutilitarele pe care le-am...
16 cazuri noi de COVID-19 și încă un deces, în Gorj
În data de 10 septembrie 2020, ora 14.00, situația epidemiologică, la nivelul județului Gorj, se prezintă astfel:
381 persoane în carantină la domiciliu/locația declarată;
...
Decizia procurorilor în cazul celor trei bătăuși
Cei trei tineri cu vârste cuprinse între 15 și 18 ani, din municipiul Târgu-Jiu, cercetați pentru lovire sau alte violențe, după ce și-au petrecut...
Cu permisul suspendat s-a urcat la volan
Polițiști din cadrul Poliţiei Municipiului Motru au identificat, ieri, în trafic, un bărbat, de 64 de ani, din municipiul Motru, în timp ce conducea...
Ministerul Sănătăţii propune prelungirea stării de alertă
Ministerul Sănătăţii va propune prelungirea stării de alertă, în contextul evoluţiei actuale a pandemiei, a anunţat, joi, la Piteşti, ministrul Nelu Tătaru.
„După cum vedem...
Tineri reținuți, după ce au distrus geamurile unui autoturism și l-au bătut pe proprietar
Doi tineri, de 24 și 27 de ani, din comuna Bengești Ciocadia, au fost reținuți, ieri. Aceștia sunt bănuiți de săvârșirea infracțiunilor de distrugere,...
Tânăr dispărut, căutat de polițiști
Un tânăr în vârstă de 17 ani, din municipiul Târgu-Jiu, este căutat de polițiști, după ce a plecat în mod voluntar dintr-un centru și...
DSP Gorj: Au ajuns măștile gratuite de la Ministerul Sănătății!
Începând de astăzi, 10 septembrie 2020, reprezentanții UAT-urilor din județul Gorj pot să ridice măștile de protecție, acordate de către Ministerul Sănătății pentru a...
Acțiune nocturnă a Poliției Locale Târgu Jiu
În această dimineață, în intervalul orar 02:00 - 04:00, poliţiştii locali au desfăşurat o acţiune de prevenire a faptelor antisociale în rândul tinerilor.
Cu ocazia...
Se închid gazele!
Distrigaz Sud Reţele anunţă sistarea alimentării cu gaze naturale la consumatorii casnici şi non-casnici pentru modernizarea reţelei de distribuţie pentru judetul Gorj pentru data de 10.09.2020...
Noi dotări la Secția Boli Infecțioase a SJU Târgu Jiu
Astăzi, a fost livrat, conform contractului de comodat incheiat intre SRATI (Societatea Romana de Anestezie si Terapie Intensiva) si Asociatia Societatea Stiintifico Romana de...
FOTO: Percheziții la traficanți de droguri, un tânăr a fost arestat
Un tânăr în vârstă de 19 ani, din municipiul Târgu-Jiu, bănuit de săvârșirea infracțiunilor de constituirea unui grup infracțional organizat și efectuarea fără drept...
Accident la Vîrț
Un bărbat în vârstă de 58 de ani, din Godinești, a ajuns, ieri după-amiază, la spital. Acesta a fost rănit în urma unui eveniment...
Update: Cei trei adolescenți, reținuți
Cei trei tineri, bănuiți de săvârșirea infracțiunii de lovire sau alte violențe, au fost reținuți pentru 24 de ore și introduși în Centrul de...
Tichete cadou în locul electrocasnicelor vechi
Astăzi a început acțiunea „România reciclează și în județul Gorj”, la care s-au înscris 49 de localități.
„Primele localități în care am mers să colectăm...
Surse: Starea de alertă va fi prelungită
Guvernul va prelungi starea de alertă cu încă o lună, susţin surse politice. Masca va rămâne obligatorie în spaţiile publice deschise şi în mijloacele...
A cerut ajutorul polițiștilor, după ce ar fi fost agresată de soț
Polițiști din cadrul Poliției Orașului Rovinari au fost sesizaţi, ieri, de către o femeie, de 38 de ani, din orașul Rovinari, cu privire la...
FOTO: Al treilea copil bătut și umilit de alți tineri, în Gorj
Filmulețe cu imagini violente în care mai mulți adolescenți sunt protagoniștii principali apar pe bandă rulantă în mediul online. Este vorba despre al treilea...
Și-a bătut tatăl, după care a sunat la poliție: Decizia oamenilor legii!
Un tânăr în vârstă de 27 de ani, din comuna Fărcășești, a fost reținut, ieri, pentru că și-a lovit tatăl. Agresorul a fost și...
„Trei iezi și un lup simpatic”, la Teatrul de Vară
Teatrul de Păpuși ″Pinocchio″, din cadrul Școlii Populare de Arte ”Constantin Brâncuși” Târgu Jiu, vă invită joi, 10 septembrie, ora 10:30, la Teatrul...
Ministrul Sănătății: Ne așteaptă o lună de foc
Ministrul Sănătății, Nelu Tătaru, avertizează că în luna septembrie sunt două evenimente majore, care ar putea duce la o creștere semnificativă a numărului de...
Viitorul, succes în minutul 90!
Viitorul Târgu Jiu a obținut prima victorie din noul sezon. Trupa lui Flavius Stoican s-a impus cu 2-1 în fața echipei CSM Slatina. Victoria...
Acord de mediu pentru Cariera Roșia
CE Oltenia a obținut, luni, acordul de mediu pentru continuarea lucrărilor în perimetrul de licență extins al obiectivului de investiții „Deschiderea și punerea în...
Cercetat pentru că și-a bătut soția
Polițiști din cadrul Poliției Municipiului Târgu-Jiu au fost sesizați, ieri, de către o femeie, de 68 de ani, din municipiul Târgu-Jiu, cu privire la...
Un bărbat de cetățenie germană, cercetat pentru furt
Polițiști din cadrul Poliţiei Oraşului Bumbeşti Jiu au fost sesizați, ieri, de către un bărbat, de 40 de ani, din orașul Bumbești Jiu, cu...
FOTO: A furat un aparat de jocuri de noroc cu bani cu tot
Polițiști din cadrul Secției 1 Poliție Rurală Târgu Jiu au fost sesizați, ieri, de către o femeie, din comuna Dănești, în calitate de administrator...
Unde mai poți achita taxa de pașaport
Taxa de paşaport poate fi plătită din luna septembrie şi la cele peste 5.000 de Staţii de Plată SelfPay, în urma unui parteneriat cu...
Ponta nu are Covid
Liderul Pro România, Victor Ponta, a anunţat, pe Facebook, că rezultatul testului pentru coronavirus pe care l-a făcut este negativ.
„Am primit rezultatul NEGATIV al...
Câștigătorii Atelierului Național de poezie “Serile la Brădiceni”
Cea de-a XXIV–a ediție a Atelierului național de poezie ”Serile la Brădiceni”, desfășurată online, și-a desemnat câștigătorii. Premiul național de poezie, atribuit unui poet...
Foto: Împăratul lumii, candidează la alegerile locale din Târgu-Jiu
Un cetățean care se autointitulează "Împăratul lumii" candidează la alegerile locale din municipiul Târgu-Jiu.
Respectivul și-a conceput și lipit un afiș electoral în zona autorizată...
8 comune din Gorj, în scenariul galben
Ministerul Sănătății a publicat astăzi analiza epidemiologică pe județe pentru începerea anului școlar. Documentul cuprinde numărul de cazuri noi confirmate în ultimele 14 zile...
7 cazuri noi de COVID-19, în Gorj
În data de 7 septembrie 2020, ora 14.00, situația epidemiologică, la nivelul județului Gorj, se prezintă astfel:
397 persoane în carantină la domiciliu/locația declarată;
...
Spectacolul „Caramitru – Mălăele, câte-n lună și în stele”, la Târgu-Jiu
Teatrul Dramatic ”Elvira Godeanu” va marca sfârșitul stagiunii estivale cu un spectacol extraordinar ce reunește două mari nume ale teatrului românesc - Ion Caramitru...
Înălțarea Sfintei Cruci, marcată la Muzeul Crucilor de la Măceșu
Înălțarea Sfintei Cruci, celebrată în fiecare an pe 14 septembrie, este o mare sărbătoare creștin ortodoxă. Centrul Județean pentru Conservarea și Promovarea Culturii Tradiționale...
ITM Gorj a amendat CEO cu 10.000 de lei
Complexul Energetic Oltenia a fost sancționat cu o amendă în valoare de 10.000 de lei ca urmare a ultimelor două accidente de muncă produse...
Vandalism: Hărțile de pe panourile informative turistice din Gorj, înlocuite!
În aceasta perioada salvamontiștii gorjeni derulează o campanie de înlocuire a hărților de pe panourile informative amplasate la principalele intrări rutiere în județul Gorj...
Greva foamei la CEO
Ion Popescu, președintele Sindicatului Renașterea Jilț Sud, a intrat în această dimineață în greva foamei, în fața sediului Complexului Energetic Oltenia. Acesta este nemulțumit...
DGASPC Gorj face anchetă în cazul fetelor bătăușe
"În după-amiaza zilei de duminică, 06.09.2020, Poliția Municipiului Târgu-Jiu, a solicitat participarea unui psiholog din cadrul DGASPC Gorj la audierea minorelor implicate în incidentul...
Trei cursuri de formare profesională încep la AJOFM Gorj
Pentru luna septembrie, Agenţia Judeţeană pentru Ocuparea Forţei de Muncă (AJOFM) Gorj organizează trei cursuri de formare profesională la care este aşteptată o prezenţă...
Foto: Reglări de conturi cu săbii și cuțite în cartierul Meteor!
Acțiune în forță sâmbătă, în jurul orei 16.00 în cartierul Meteor, din municipiul Târgu-Jiu. Polițiști, jandarmi, polițiști locali au blocat strada care intră în...
17 cazuri noi de COVID-19 și încă 3 decese, în Gorj
În data de 5 septembrie 2020, ora 14.00, situația epidemiologică, la nivelul județului Gorj, se prezintă astfel:
367 persoane în carantină la domiciliu/locația declarată;
...
PSD: Dacă Guvernul amână redeschiderea școlilor, alegerile locale trebuie amânate
Preşedintele PSD, Marcel Ciolacu, a declarat, sâmbătă, că, în cazul care Guvernul va decide ca şcolile să nu se deschidă pe 14 septembrie, va...
Au fost publicate rezultatele finale la Bacalaureat
Ministerul Educației și Cercetării a publicat rezultatele finale ale sesiunii de toamnă a Bacalaureatului. În Gorj, după soluționarea contestațiilor, numărul candidaților care au reușit...
Donație de cărți din partea Salvamont Gorj
Salvamontiștii gorjeni au donat peste 4000 de cărți bibliotecii din cadrul Căminului Cultural al satului Telesti. Prin contribuțiile salvamontistilor gorjeni și ale prietenilor lor,...
Ponta își suspendă campania și se testează pentru Covid
Deputatul de Gorj Victor Ponta, preşedintele Pro România, a anunţat, vineri, că nu va mai participa la acţiunile electorale din campania pentru alegerile locale.
Ponta...
O nouă creșă se deschide de luni, la Rovinari
"Vă anunț că, începând de luni, 7.09.2020, noua creșă din orașul Rovinari își deschide porțile. În prima fază, respectiv până la începerea noului an...
Licitație pentru reabilitarea Casei de Cultură din Târgu Jiu!
"Lucrările pentru reabilitarea Casei de Cultură au fost scoase la licitație! Din nou, mă adresez societăților comerciale din Gorj pe care le încurajez să...
17 cazuri noi de COVID-19 și încă un deces în Gorj
Din datele raportate de către Direcția de Sănătate Publică Gorj, în data de 4 septembrie 2020, situația epidemiologică, la nivelul județului Gorj, se prezintă...
Noi posturi de director adjunct, scoase la concurs
Urmare a vacantării postului de director adjunct la Liceului Tehnologic Bârsești și Liceul Tehnologic Tismana, Inspectoratul Școlar Județean Gorj organizează concurs de selecție pentru...
Linii Telverde pentru informații privind deschiderea școlilor în contextul pandemiei
Ministerul Educației și Cercetării pune la dispoziția celor interesați de informații legate de contextul educativ și sanitar în care se va desfășura activitatea didactică...
Carierele miniere din Gorj, verificate de Garda de Mediu
Comisarii Gărzii de Mediu Gorj au început verificările la exploatările miniere din județ. "Pe lângă elementele de disconfort care sunt generate de activitățile miniere,...
S-a stabilit data alegerilor parlamentare
Guvernul a adoptat Hotărârea prin care s-a stabilit data alegerilor parlamentare, aceasta fiind 6 decembrie 2020.
„Alte două hotărâri de guvern importante în ceea ce...
13 noi cazuri de COVID-19 la angajații din penitenciare
"Vă informăm că, în intervalul 21-27.08.2020, au fost înregistrate 13 noi cazuri de infectare cu virusul SARS-CoV-2 în rândul personalului sistemului administrației penitenciare. În...
Turiști din mai multe zone ale țării, în orașul lui Brâncuși
Astăzi, în ciuda vremii nefavorabile, CNIPT "Constantin Bråncuși" Tărgu Jiu a fost gazda unui grup de turiști din București, Suceava, Piatra Neamț, Cluj, Brăila,...
Aproximativ 4000 de pâini, confiscate de polițiști
Polițiști din cadrul Inspectoratului de Poliție Județean Gorj - Serviciul de Investigare a Criminalității Economice au organizat, în această dimineață, o acţiune pe linia...
17 noi cazuri de COVID-19, în Gorj
În data de 3 septembrie 2020, ora 14.00, situația epidemiologică, la nivelul județului Gorj, se prezintă astfel:
456 persoane în carantină la domiciliu/locația declarată;
...
Atelierul național de poezie ”Serile la Brădiceni” se va desfășura online
În acest an, cea de-a XXIV–a ediție a Atelierului național de poezie ”Serile la Brădiceni” se va desfășura în perioada 6-8 septembrie 2020, online....
A murit, după ce a căzut de pe acoperișul unei case
Un bărbat în vârstă de 60 de ani, din comuna Plopșoru, a decedat, în urmă cu puțin timp. Acesta efectua lucrări la acoperișul unei...
Alegerile parlamentare, pe 6 decembrie
Autoritatea Electorală Permanentă a trimis Guvernului proiectul care propune organizarea alegerilor parlamentare pe 6 decembrie.
Pachetul legislativ necesar organizării scrutinului va fi adoptat în şedinţa...
Avarie la conducta de apă în zona Plopilor
APAREGIO GORJ SA anunță întreruperea furnizării apei potabile joi, 03.09.2020, în intervalul orar 10.45-13.00 în zona Plopilor din Târgu-Jiu. Întreruperea furnizării apei potabile este...
Tânăr fără permis, prins de polițiști în mașină cu tatăl său
Polițiști din cadrul Secţiei 3 Poliţie Rurală Motru au identificat, miercuri, în flagrant delict, un bărbat, de 35 de ani, din comuna Grozeşti, în...
Tată agresat de propriul fiu
Polițiști din cadrul Poliţiei Municipiului Motru au fost sesizaţi, ieri, prin apelul 112 de un bărbat, de 43 de ani, din localitatea Leurda, cu...
Autoturism parcat, acroșat de un șofer băut
Polițiști din cadrul Secției 5 Poliție Rurală Rovinari au fost sesizați, azi noapte, telefonic de un bărbat în vârstă de 62 de ani, din...
272 de contestații la Bacalaureatul de toamnă
272 de contestații au fost depuse, la nivelul județului Gorj, după afișarea primelor rezultate ale sesiunii de toamnă a Bacalaureatului. Contestațiile candidaților vor fi...
APIA Gorj: Bani pentru culturile afectate de secetă
Agenţia de Plăţi şi Intervenţie pentru Agricultură (APIA) Gorj informează că începând de astăzi, 3 septembrie 2020, se depun cererile de solicitare a ajutorului...
Se caută director adjunct la o școală din Târgu-Jiu
Inspectoratul Școlar Județean Gorj organizează concurs pentru ocuparea postului de director adjunct la Școala Gimnazială ”Alexandru Ștefulescu” Târgu-Jiu. La selecție pot participa cadre didactice...
Au fost publicate rezultatele de la Bacalaureat
Ministerul Educației a publicat listele cu notele obținute de candidații care au susținut probele din cadrul sesiunii de toamnă a Bacalaureatului. La nivelul județului...
Informare meteo de ploi torențiale
INFORMARE METEOROLOGICĂ
Interval de valabilitate: 03 septembrie, ora 12:00 – 04 septembrie, ora 21:00
Fenomene vizate: instabilitate atmosferică
Zone afectate: conform textului
Din a doua parte a...
Amenzi de peste 9.200 de lei, aplicate de polițiști pentru nerespectarea măsurilor anti-Covid
160 de polițiști, jandarmi și polițiști locali, lucrători ai ISU Gorj, reprezentanți ai ANPC, ANSVA și Ministerului Sănătății au acționat, în ultimele 24 de...
Încălcarea normelor COVID-19 poate fi raportată la o linie roșie de urgență
InfoCons lanseaza linia rosie de urgenta ‘’Ia atitudine‘’ si vine în sprijinul consumatorilor din România, în special în această perioadă dificilă și pune la...




























































































































