Calendarul admiterii în învățământul liceal de stat pentru anul școlar 2021-2022 a fost publicat zilele trecute în Monitorul Oficial. Repartizarea computerizată a absolvenților clasei...
Sport
Stoican, mulțumit de ce a găsit la Viitorul: ,,Am întâlnit oameni care îşi doresc performanţă”
Cătălin Pasăre -
Al doilea succes consecutiv al Viitorului i-a dat elan antrenorului Flavius Stoican. După ce formația sa a câștigat la Recea (3-4), tehnicianul gorjenilor s-a...
Consiliul Județean Gorj organizează o nouă licitație pentru achiziționarea unui autoturism cu cinci locuri.
Mașina va fi folosită de reprezentanții Spitalului Județean de Urgență din...
Motto: „De când lumea, râsul te râde și batjocura te batjocorește.”
Proverb românesc
Mai marii țării care nu s-au învrednicit să pună umărul la pregătirea cum...
O tânără de 24 de ani, din Hurezani, a fugit de acasă cu cei doi copii de 2 și 4 ani, după ce a...
Cu un candidat puternic, PSD Bâlteni are toate șansele să câștige alegerile din data de 27 septembrie, atât la Primărie, cât și la Consiliul...
Tenismenul Florin Mergea va participa, în perioada următoare, la mai multe competiții interne. După o perioadă destul de mare de inactivitate, jucătorul gorjean a...
Ca multe alte evenimente, și Festivalul Folcloric ,,Coborâtul oilor de la munte” de la Baia de Fier se va desfășura anul acesta online. Evenimentul,...
Ministrul Tineretului şi Sportului, Ionuţ Stroe, a precizat că autorităţile lucrează la scenariul revenirii suporterilor pe stadioane. Decizia va fi luată după Supercupa Europei...
La Târgu-Jiu, va avea loc săptămâna viitoare o nouă campanie de sterilizări gratuite pentru câini și pisici.
Şi în această lună, Asociaţia Pro Animals a...
Un bărbat în vârstă de 33 de ani, din Târgu Cărbunești, a fost prins băut la volan de oamenii legii. Tânărul avea o concentrație...
După zeci de ani în care generații întregi de copii au învățat la școala din Scoarța cum este să îți faci nevoile la toaleta...
Societate
Metrologia naţională la ceas aniversar – De 156 de ani în slujba comunităţilor
Echipa Gorjeanul -
Momentul de referinţă al istoriei metrologiei românești l-a constituit semnarea, la data de 15 septembrie 1864, a ,,Legii pentru adoptarea Sistemului Metric de măsuri...
Cultura
PROMOVAREA IMAGINII ASOCIAȚIEI NAȚIONALE A CADRELOR MILITARE ÎN REZERVĂ ȘI ÎN RETRAGERE FILIALA GORJ GENERAL IOAN CULCER
Echipa Gorjeanul -
În cei 30 de ani de la înființare, A.N.C.M.R.R. este recunoscută ca o structură asociativă viabilă, cu o îndelungată legitimitate istorică, dovedind fără tăgadă,...
Actualitate
Debut de an școlar cu multiple investiții și măsuri de siguranță, la Târgu-Jiu
Izabella Molnar -
Anul școlar 2020-2021 a debut, ieri, la Târgu- Jiu, cu toate măsurile de siguranță. Autoritățile locale i-au întâmpinat pe elevi cu multiple investiții în...
Victor Ponta, preşedintele Pro România, lansează un nou atac la adresa PNL. Deputatul de Gorj îi acuză pe liberali că vor alegeri „cu orice...
Doljenii de la CSO Filiași au pornit cu un succes extrem de important în Liga 3, iar la originea victoriei au stat doi jucători...
Economie
Agricultura pe înțelesul tuturor – Făceți-vă un mare bine, arați terenul toamna
Echipa Gorjeanul -
-1-
În cel mult patru săptămâni se încheie sezonul însămânțărilor de toamnă, dar, desigur, fermierii adevărați încă nu au parte de relaxare, deoarece trebuie să...
Ultima Ora
Plan de măsuri de combatere a delincvenței juvenile, pus la punct de președintele CJ Gorj
Izabella Molnar -
În scopul identificării unor măsuri concrete privind prevenirea și combaterea violenței în rândul minorilor cu aplicabilitate imediată pe plan local, președintele Consiliului Județean Gorj, ...
Direcţia Judeţeană de Statistică Gorj organizează concurs de recrutare pentru ocuparea pe perioadă determinată a funcțiilor contractuale de execuție, vacante, în vederea efectuării activităților privind Recensământul...
Guvernul a prelungit, în ședința de luni, starea de alertă, cu aplicare de marți, 15 septembrie. Secretarul de stat în MAI, Raed Arafat, a...
Ultima Ora
Mâine, ultima zi pentru solicitarea la APIA a despăgubirilor pentru secetă
Izabella Molnar -
Agenţia de Plăţi şi Intervenţie pentru Agricultură (APIA) reaminteşte că cererile de solicitare a ajutorului de stat acordat producătorilor agricoli care au înfiinţat culturi...
În data de 14 septembrie 2020, situația epidemiologică, la nivelul județului Gorj, se prezintă astfel:
- 508 persoane în carantină la domiciliu/locația declarată;
- 1741 persoane...
Polițiști din cadrul Poliției Municipiului Târgu-Jiu au fost sesizați, vineri, prin apelul 112 de o femeie, de 51 de ani, din comuna Stănești, despre...
Polițiști din cadrul Poliţiei Orașului Târgu Cărbunești au depistat, azi-noapte, în trafic un localnic, de 33 de ani, în timp ce conducea un autoturism,...
Elevii claselor I-IV din Turceni au intrat astăzi la ore. O învățătoare a fost confirmată cu coronavirus, dar au fost luate măsuri de suplinire...
Circa 30 de cadre didactice de la Liceul Teoretic Novaci au intrat în carantină după ce unul dintre ei a fost confirmat cu coronavirus....
Un număr de 364 de persoane au fost retestate şi reconfirmate pozitiv cu COVID-19, a anunţat, duminică, Grupul de Comunicare Strategică (GCS).
Distribuţia pe judeţe...
Autoritatea Națională pentru Drepturile Persoanelor cu Dizabilități, Copii și Adopții (ANDPDCA), Consiliul Tinerilor Instituționalizați (CTI), Centrul de Resurse Juridice (CRJ) și Reprezentanța UNICEF în...
Primăria şi Consiliul Local Baia de Fier, Căminul Cultural „Ion Niţulescu" Baia de Fier și CJCPCT Gorj organizează on-line cea de-a XXVIII-a ediţie a...
Ultima Ora
Debut de an școlar în straie noi la mai multe unități de învățământ din Târgu Jiu
Izabella Molnar -
”Cele mai recente investiții ale noastre le puteți vedea în unitățile de învățământ din Târgu Jiu, odată cu începerea noului an școlar. Clasele Colegiului...
Actualitate
ILEGAL! Investiția în muri a unor tineri din Arcani a ajuns în mâinile rudelor primarului!
Anamaria Stoica -
Situație fără precedent la Arcani, unde un teren în suprafață de 45 de ari, cultivat parțial cu muri, a dispărut din acte, fiind încredințat...
Autoritățile din Peștișani au reușit să finalizeze mare parte din lucrările de modernizare a școlii primare din satul Boroșteni la circa doi ani de...
Unitățile de învățământ din Gorj își redeschid, astăzi, porțile, pentru un nou an școlar. Spre deosebire de anii trecuți, începutul de an școlar nu...
Două persoane au ajuns, ieri, la spital pentru acordarea de îngrijiri medicale, după ce au fost implicate într-un eveniment rutier. Accidentul s-a produs pe...
România are nevoie urgentă de bani pentru a putea finanța trecerea de la cărbune la regenerabile. Afirmația îi aparține ministrului Economiei și Energiei, Virgil...
Calendarul de desfășurare a Evaluării Naționale pentru absolvenții de gimnaziu și cel al examenului de Bacalaureat de anul viitor au fost publicate zilele trecute...
Localitatea Fărcășești are nevoie de o schimbare. Locuitorii comunei merită mai mult, este de părere fostul primar, candidatul PSD, Dănuț Bălu. Faptul că nici...
Zeci de obiective au prins contur în cei patru ani de mandat ai primarului localității Scoarța, Ion Stamatoiu, care au făcut din comună una...
Polițiști din cadrul Poliției Orașului Rovinari au fost sesizați de către un bărbat, de 34 de ani, din orașul Rovinari, cu privire la faptul...
Viitorul Târgu Jiu a început bine şi noul sezon. După înfrângerea cu Rapid, trupa lui Flavius Stoican a reuşit să lege două succese consecutive....
Realitatea Gorjeana
Început de an școlar – Poliția Siguranță Școlară își începe activitatea
alexandra cruceru -
Astăzi, va debuta un nou an școlar, iar Poliția Siguranță Școlară își va începe activitatea. Polițiștii de la această structură vor acționa exclusiv pentru...
Drumul Ploștina-Miculești, care leagă comuna Slivilești de municipiul Motru, nu a fost încă terminat. Este nevoie de lucrări suplimentare de mai bine de 850.000...
Realitatea Gorjeana
Polița RCA, prezentată polițiștilor și pe telefon sau tabletă
alexandra cruceru -
Începând cu data de 10 septembrie, conducătorii auto pot face dovada asigurării RCA inclusiv cu ajutorul dispozitivelor mobile, potrivit unui act normativ al Autorității...
Actualitate
DGASPC Gorj reacționează după incidentul violent în care se cere demiterea mamei agresoarei
Izabella Molnar -
Direcția Generală de Asistență Socială și Protecția Copilului (DGASPC) Gorj a transmis, în urmă cu câteva zile, un comunicat de presă cu privire la...
Cultura
80 de ani de la părăsirea definitivă a tronului de către Regele Carol al II-lea
Echipa Gorjeanul -
După ce a adus țara într-o situație critică, Regele Carol al II-lea abdică la 6 septembrie 1940, fiul său, Regele Mihai I, revenind în...
Investigatii
Percheziții la Novaci și Scoarța – Au fost găsite aproximativ 5000 de țigarete fără marcă
alexandra cruceru -
Polițiști din cadrul Poliției Orașului Novaci s-au sesizat, vineri, din oficiu cu privire la faptul că, un bărbat, de 44 de ani, din orașul...
Asociația pentru Democrație, Educație, Respect (ADER) implementează în perioada 15 septembrie – 15 octombrie 2020, proiectul ,,Din dragoste pentru Brâncuși”. Proiectul este finanțat prin...
Orașul Rovinari continuă să înflorească sub conducerea primarului Robert Filip. Săptămâna trecută, la Rovinari, au demarat lucrările de construire a unui nou bloc de...
Președinții birourilor electorale ale secțiilor de votare din Gorj și locțiitorii acestora la alegerile locale din 27 septembrie au fost stabiliți, sâmbătă, prin tragere...
Duminică, 20 septembrie 2020, la Târgu-Jiu, în Piața Prefecturii, între orele 17.00 și 19.00, se va organiza un protest împotriva exploatărilor ilegale de lemn...
Veste bună pentru locuitorii din orașul Tismana. Localitatea a primit un milion de lei de la guvern pentru lucrările de introducere a gazelor în...
Polițiști din cadrul Secției 6 Politie Rurală Târgu Cărbuneşti au fost sesizaţi de către un bărbat, de 56 de ani, din comuna Turburea, cu privire...
Veste neașteptată oferită gorjenilor și mehedințenilor de șeful Direcției Regionalei de Drumuri și Poduri Craiova. Bogdan Bratu a confirmat la sfârșitul săptămânii trecute că...
Actualitate
Un candidat la funcția de primar al municipiului Motru reînvie ideea realizării unui complex de chimizare a lignitului
Echipa Gorjeanul -
Fostul polițist, Cristinel Globașu, în prezent pensionar, candidat la funcția de primar al orașului Motru, readuce în atenție proiectul de gazeificare a lignitului din...
Realitatea Gorjeana
Polițiștii locali târgujieni, cu ochii pe terenurile unde crește ambrozia
Izabella Molnar -
Polițiștii locali din Târgu-Jiu, cu atribuții în domeniul protecției mediului, continuă acțiunile de control pentru combaterea ambroziei.,,În data de 11 septembrie 2020, au fost...
Pandurii Târgu Jiu le-a dat suporterilor speranţe prin prestaţia de la Rapid, dar a capotat ruşinos pe teren propriu în faţa Turrisului. Gazdele nu...
Interviu
Iulian Popescu: Știu ce voi face în fiecare zi când voi fi președintele CJ Gorj
Echipa Gorjeanul -
Iulian-Vasile Popescu este candidatul PNL Gorj la alegerile pentru președinția Consiliului Județean Gorj, din 27 septembrie. Iulian Popescu este un tânăr antreprenor, cu experiență...
Guvernul României a aprobat, în ședința din 10 septembrie, hotărârea privind alocarea a peste 20 de milioane de lei, din Fondul de intervenție, pentru...
Sărbătoarea «Înălţarea Sfintei Cruci» este marcată prin post aspru şi constituie una dintre cele mai vechi sărbători creştine, care ne aminteşte despre patimile şi...
Universitatea Craiova joacă, în această seară, pe terenul Viitorului. Partida de la malul mării este programată la ora 21.00. Oltenii vin după două succese...
În data de 13 septembrie 2020, ora 14.00, situația epidemiologică, la nivelul județului Gorj, se prezintă astfel:
417 persoane în carantină la domiciliu/locația declarată;
...
Calendarul de desfăşurare a examenului de Bacalaureat 2021 a fost publicat în Monitorul Oficial. În cazul sesiunii iunie - iulie, probele scrise încep pe...
Veste bună pentru locuitorii din orașul Tismana. Localitatea a primit un milion de lei de la guvern pentru lucrările de introducere a gazelor în...
Guvernul discută luni prelungirea stării de alertă. „Vom prelungi starea de alertă şi discutăm evident nişte măsuri să mai reducem din restricţii. Am să...
Secretarul de stat în MAI, Raed Arafat, a transmis un mesaj înainte de începerea școlii. Acesta spune că va urma o perioadă dificilă și...
În urma verificărilor tuturor unităților școlare înaintea începerii anului școlar 2020-2021, Inspectoratul Școlar Județean Gorj a suplimentat sau, după caz, a asigurat un minim...
Acțiune în derulare a salvamontiștilor gorjeni din cadrul Serviciului Public Salvamont al Consiliului Județean Gorj pentru salvarea unei persoane aflata în stare de epuizare...
În data de 12 septembrie 2020, ora 14.00, situația epidemiologică, la nivelul județului Gorj, se prezintă astfel:
398 persoane în carantină la domiciliu/locația declarată;
...
Duminică, 20 septembrie 2020, la Târgu Jiu, în Piața Prefecturii, între orele 17.00 și 19.00, se va organiza un protest împotriva exploatărilor ilegale de...
Ultima Ora
Reacția DGASPC Gorj despre angajata a cărei fiică a fost implicată în violențe
Izabella Molnar -
"În contextul apariției în rețelele de socializare a unor informații referitoare la incidentul violent în care au fost implicate 4 minore, facem următoarele precizări....
În data de 11 septembrie 2020, ora 14.00, situația epidemiologică, la nivelul județului Gorj, se prezintă astfel:
387 persoane în carantină la domiciliu/locația declarată;
...
Inspectoratul Școlar Județean Gorj a anunțat că în 5 școli din județ cursurile se vor desfășura după scenariul roșu. "În urma propunerilor înaintate de...
"Luăm măsurile necesare pentru a garanta siguranța elevilor noștri în contextul epidemiei de COVID-19! Începutul anului școlar ne va găsi pregătiți, cu instituții școlare...
Calendarul de desfăşurare a Evaluării Naţionale pentru absolvenţii clasei a VIII-a în anul şcolar 2020 - 2021 a fost publicat în Monitorul Oficial. Potrivit...
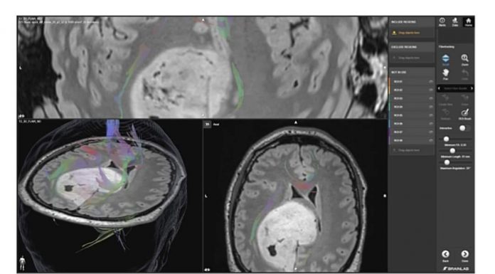
"Înființarea unui compartiment de neurochirurgie are ca scop diagnosticarea și tratarea următoarelor patologii:
- patologia spinală - una dintre cele mai frecvente patologii pentru care...
CFR Călători anunță că studenții își vor putea cumpăra bilete online sau de la automate, pentru reducerea timpului de așteptare la casele de bilete.
CFR...
Guvernul României a aprobat, în şedinţa de ieri, 10 septembrie, Hotărârea privind alocarea a 20,93 de milioane de lei din Fondul de intervenţie la...
APAREGIO GORJ SA anunță întreruperea furnizării apei potabile vineri, 11.09.2020, în intervalul orar 10.30-14.00 în localitatea componentă Preajba din Târgu-Jiu. Întreruperea furnizării apei potabile...
Actualitate
Profesoară de la Colegiul Tehnic Motru, în greva foamei la Ministerul Educației
Anamaria Stoica -
Ramona Nibu, profesor până în această vară la Colegiul Tehnic Motru, lăsată șomeră de conducerea unității de învățământ, care a făcut dispărute orele pe...
Actualitate
Procurorii au decis măsura controlului judiciar pentru 30 de zile în cazul celor trei bătăuși
alexandra cruceru -
După ce și-au petrecut noaptea de miercuri spre joi în arest, cei trei tineri cu vârste cuprinse între 15 și 18 ani, din municipiul...
Actualitate
Unitățile de învățământ din Gorj, fără stocuri de măști la început de an școlar
Oana Roxana Lupu -
Cu doar câteva zile înainte de începutul anului școlar, majoritatea școlilor din Gorj nu au stocuri de măști de protecție. Chiar și acolo unde...
Realitatea Gorjeana
DSP Gorj: Primăriile pot ridica măștile gratuite provenite de la MS
Izabella Molnar -
Începând de ieri, Direcția de Sănătate Publică (DSP) Gorj a dat startul împărțirii către primăriile din județul nostru a măștilor gratuite pentru persoanele ce...
După înfrângerea de la Rapid, Pandurii Târgu Jiu speră să obțină primele puncte din actuala stagiune, sâmbătă, împotriva uneia dintre candidatele la promovare din...
Societate
Programe de formare profesională ,,CRED” pentru cadrele didactice din învățământul primar și gimnazial
Oana Roxana Lupu -
În această perioadă are loc selecția cadrelor didactice din învățământul primar și gimnazial, în vederea participării la programele de formare profesională acreditate de Casa...
Campania de strângere a deșeurilor electrice și electronice la nivel de județ a ajuns, ieri, la Câlnic și în Brănești, localități în care oamenii...
Ministerul Sănătăţii propune prelungirea stării de alertă, în contextul evoluţiei epidemiei de coronavirus în România, a anunţat, joi, ministrul Nelu Tătaru.
„După cum vedem şi...
În cursul zilei de miercuri, 9 septembrie 2020, a fost livrat, conform contractului de comodat încheiat între SRATI (Societatea Română de Anestezie și Terapie...
O amplă acțiune de control nocturnă a fost efectuată de către agenții Poliției Locale a Municipiului Târgu-Jiu, în noaptea de miercuri spre joi.,,În intervalul...
21 de formații au obținut calificarea în următorul tur al Cupei României la fotbal după partidele disputate, miercuri. Din păcate, echipele din Gorj, Gilortul...
Este o plantă care crește spontan prin păduri, pe terenuri înțelenite, pe marginea drumurilor, pășuni și fânețe în regiuni alpine și subalpine, fiind de...
Politic
La inițiativa lui Iulian Popescu – Cea mai veche carte a Târgu-Jiului, reeditată și donată școlilor și bibliotecilor
Echipa Gorjeanul -
,,Istoria Târgu-Jiului”, de Alexandru Ștefulescu, prima monografie a orașului, scrisă în 1906, a fost reeditată de Asociația Excelsior pentru Excelență în Educație, fondată de...
Societate
Pentru o toamnă stylish – Șapte piese care să nu-ți lipsească din garderobă
alexandra cruceru -
Este mereu la fel, an de an și sezon de sezon! Cu ce ne îmbrăcăm? A venit toamna și nu știm încă ce vom...
Cultura
Lumina, şi Adevărul, şi Viaţa – Dumnezeul Cel Atotputernic, prin Fiul Său Iubit, a adus Împărăţia cea cerească în mijlocul oamenilor, ca o intrare spirituală într-o altă dimensiune a...
Echipa Gorjeanul -
În Duminica dinaintea Înălţării Sfintei Cruci; Ap. Galateni 6, 11-18; şi al praznicului: Filipeni 2, 5-11; Ev. Ioan 3, 13-17 şi a praznicului: Luca...
Federaţia Română de Fotbal a anunţat stadionul pe care reprezentativa U21 va evolua în luna octombrie, când e programat meciul cu Malta din preliminariile...
Radu Miruță, președintele USR Gorj, îl acuză pe prefectul Cosmin Pistol că îi favorizează pe primarii care au schimbat partidul înaintea alegerilor locale și...
Economie
Regulamentul pentru Organizarea și Funcționarea Unităților de Învățământ Preuniversitare, adaptat la pandemia de coronavirus
Oana Roxana Lupu -
Săptămâna aceasta, în Monitorul Oficial, a fost publicat noul Regulament pentru Organizarea și Funcționarea Unităților de Învățământ Preuniversitare (ROFUIP). Documentul introduce o serie de...
Investigatii
Percheziții la traficanți de droguri: Un tânăr de 19 ani, arestat preventiv
alexandra cruceru -
Un tânăr în vârstă de 19 ani, din municipiul Târgu-Jiu, bănuit de săvârșirea infracțiunilor de constituirea unui grup infracțional organizat și efectuarea fără drept...
Actualitate
Rechizite gratuite și măști reutilizabile pentru preșcolarii și elevii rovinăreni
Izabella Molnar -
Primăria Rovinari oferă în aceste zile pachete cu rechizite gratuite pentru preșcolarii și elevii de până la clasa a VIII-a. Totodată, cei vizați de...
Doi tineri, de 24 și 27 de ani, din comuna Bengești Ciocadia, au fost reținuți, miercuri. Aceștia sunt bănuiți de săvârșirea infracțiunilor de distrugere,...


































































































































